ABLAM – NeuroCaso 01 ( Ac. Bruno, Dr. Felipe Duarte, Dr. Leonardo Gomes – MG)
Responsáveis pela construção do caso e afiliações
- Bruno Bastos Godoi, acadêmico do 6o período do curso de medicina da UFVJM, Diamantina/MG (bastosgodoi@gmail.com). Presidente da Liga Acadêmica de Neurociências (Neuroliga – UFVJM).
- Felipe Duarte Augusto, Residente de neurocirurgia da Santa Casa de Caridade de Diamantina/MG.
- Leonardo Gomes de Carvalho, Neurocirurgião da Santa Casa de Caridade de Diamantina/MG.
Abordagem geral do caso clínico:
P.F.S, 36 anos, pardo, previamente hígido. Admitido com queixa de olho inchado”. Refere início de forma súbita há 1 (um) dia. Evoluiu com edema periorbitário, dor no local, eritema da conjuntiva. Nega febre, queixa de cefaleia de moderada intensidade em região frontal direita. Há 12 dias sofreu uma queda de motocicleta, com a qual teve um traumatismo crânio-encefálico (TCE) leve, tendo, na ocasião, fraturado o frontal direito e contusão frontal de tratamento conservador.
Ao exame físico:
Paciente orientado, verbalizando, Glasgow 15, edema importante periocular direito, hiperemia conjuntival, acuidade visual preservada, motricidade extrínseca comprometida, sopro pulsátil em globo ocular direito, proptose ocular direita.
Motricidade e sensibilidade preservadas.
Aparelho cardiovascular: Ritmo cardíaco regular, bulhas normofonéticas em dois tempos, sem sopros.
Aparelho respiratório: Murmúrio vesicular fisiológico sem ruídos adventícios.
Temperatura: 36,4 oC
Pressão arterial: 126 x 76 mmHg
Aspectos relevantes para abordagem clínica do caso que se queira relatar
- Quadro agudo (relaciona-se com causa vascular), se subagudo relaciona-se com causa infecciosa.
- Ausência de febre (corrobora com etiologia não-infecciosa).
- Sopro pulsátil em globo ocular, hiperemia conjuntival e proptose (tríade clínica da fístula carotídeo-cavernosa, ocorrendo, respectivamente em 85%, 79% e 70% dos casos).
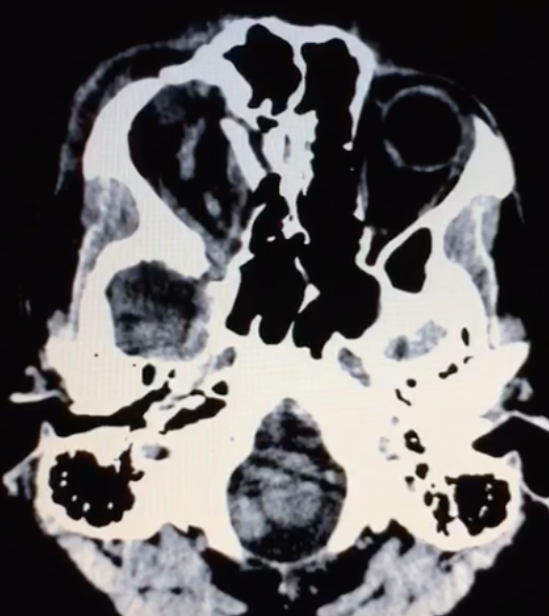
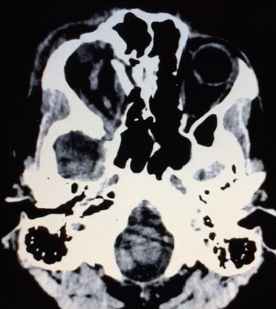
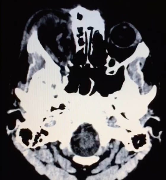
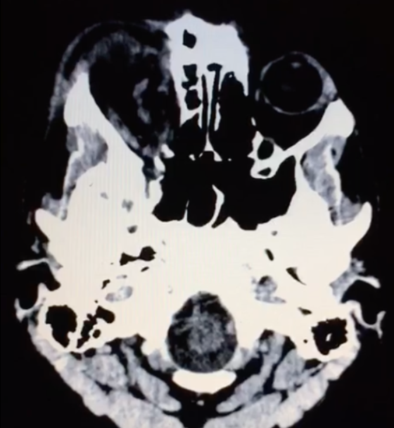
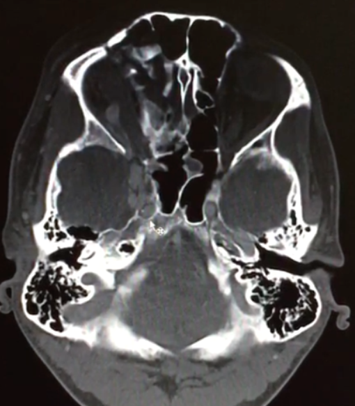
- Tomografia de crânio estrutura captante com a invasão de contraste. Ausência de coleção purulenta e presença de lesão em topografia de seio cavernoso e evidência da veia oftálmica superior. Além disso, a TC mostra sinais de traumatismo prévio (fratura frontal).
.
6) Discussão do caso
As fístulas arteriovenosas (FAVs) da região do seio cavernoso (SC) são lesões raras e difíceis de diagnosticar. Os principais sinais e sintomas são proptose, hiperemia conjuntival, quemose, paralisia dos III, IV, V e VI nervos cranianos, ptose palpebral, glaucoma, redução da acuidade visual e cefaleia. Nas fístulas carótido-cavernosa existe um defeito na parede da artéria carótida interna (ACI) que a comunica diretamente com o SC e, em consequência, um shunt arteriovenoso de grande volume. Na TC podemos identificar dilatação ou trombose da veia oftálmica superior (VOS), proptose, contrastação precoce do SC, espessamento da musculatura extraocular e edema da gordura periorbitária3.
As fístulas carótido-cavernosas (FCC) são comunicações anormais entre o sistema arterial carotídeo e o seio cavernoso, caracterizando-se pelo fluxo de sangue arterial de um sistema de alta pressão da artéria carótida interna (ACI) ou externa (ACE) para o sistema venoso de baixa pressão do seio cavernoso. Anatomicamente podem ser divididas em 2 tipos: FCC diretas (comunicação direta entre a artéria carótida interna e o seio cavernoso), são as mais frequentes correspondendo a cerca de 50-70% dos casos; FCC indiretas ou malformações artério-venosas (MAV) durais do seio cavernoso (comunicações indiretas, através de ramos meníngeos, com origem na artéria carótida interna, externa ou ambas e o seio cavernoso)6. As FCCs pós-traumáticas representam 69–77% das fístulas arterio-venosas da região do seio cavernoso, com prevalência de apenas 0,2% nos traumas crânio-encefálicos (TCEs). As FCCs predominam no sexo masculino, entre os 20 e 30 anos3.
Os seios cavernosos (SC), como todos os demais seios cerebrais, são canais venosos (ou plexos extradurais) formados pelos folhetos interno e externo da dura-máter (DM). Também chamada de paquimeninge, a DM consiste de um tecido espesso, resistente, rico em fibras colágenas, vasos e nervos. Ocupam os SC um pequeno território na fossa craniana média (localização paraselar, lateral ao seio esfenoidal), com 2 cm de comprimento por 1 cm de largura, estendendo-se da órbita ao ápice petroso. Os limites ósseos incluem o corpo e asas (maior e menor) do esfenóide, tubérculo e dorso da sela, sulco carotídeo e processos clinóides. Ao plexo venoso que constitue o SC chega ao sangue que retorna do olho e órbita, via fissura orbitária superior, de forma individualizada ou num tronco comum, pelas veias orbitárias superior (VOS) e inferior (VOI). Transitam pelo SC os pares cranianos: III, IV, VI, V1, bem como conexões simpáticas e parassimpáticas e a ACI7.
As FCC diretas apresentam na maioria dos casos um alto débito ao contrário das FCC indiretas que em termos hemodinâmicos são de baixo débito. Etiologicamente as primeiras são traumáticas em cerca de 75% dos casos podendo, no entanto, ocorrer espontaneamente. As FCC indiretas são geralmente espontâneas, ocorrendo classicamente em mulheres pós-menopáusicas ou em grávidas. O diagnóstico é efetuado pela clínica e por Tomografia Computadorizada de crânio e/ou Ressonância Magnética Nuclear das Órbitas, onde o sinal mais específico é a dilatação da veia oftálmica superior. No entanto, o diagnóstico definitivo, a caracterização da fístula e o planejamento do tratamento endovascular só são possíveis com a angiografia cerebral6.
As FCC são lesões raras e difíceis de diagnosticar. Quadros mais graves como amaurose e hemorragia intracraniana também são descritos. O shunt arteriovenoso para o SC leva ao aumento do volume e estase sanguínea, aumento da pressão venosa e, consequentemente, inversão do fluxo nas veias oftálmicas e até refluxo para as veias corticais e outros seios venosos. Isto explica as alterações neuro-oftalmológicas encontradas nesses pacientes3.
Referências
- Pedrosa C, Marques E. da Silva V, Leite AL, Celulite orbitária e periorbitária. Revisão de 16 anos de crianças internadas no Centro Hospitalar de Vila Nova de Gaia / Espinho. 2011;33(2):76-80
- BUENO, M. A. DE C. et al. Oftalmopatia na doença de Graves: revisão da literatura e correção de deformidade iatrogênica. Rev. bras. cir. plást, v. 23, n. 3, p. 220–225, 2008.
- Santos Daniela dos, Monsignore Lucas Moretti, Nakiri Guilherme Seizem, Cruz Antonio Augusto Velasco e, Colli Benedicto Oscar, Abud Daniel Giansante. Diagnóstico por imagem das fístulas arteriovenosas da região do seio cavernoso. Radiol Bras [Internet]. 2014 Aug [cited 2017 Jan 21] ; 47( 4 ): 251-255.
- Scalcon Márcia Regina Rosa, Cunha Viviane Roseli da, Rossi Álvaro Garcia, Paiva Eduardo dos Santos. Pseudotumor orbitário em paciente com doença de Still do adulto: associação incomum. Rev. Bras. Reumatol. [Internet]. 2008 Oct [cited 2017 Jan 21] ; 48( 5 ): 309-312
- Buscacio Eduardo Scaldini, Yamane Yoshifumi, Nogueira Renata. Síndrome de Tolosa-Hunt. Rev. bras.oftalmol. [Internet]. 2016 Feb [cited 2017 Jan 21] ; 75( 1 ): 64-66.
- GUERRA, Paulo Silva et al. Diagnóstico e Tratamento de Fístulas Carótido-Cavernosas. Oftalmologia, Santa Maria, v. 34, p.379-384, jun. 2010.
- Vilela Manuel Augusto Pereira. Fístula carotídeo-cavernosa. Rev. bras.oftalmol. [Internet]. 2013 Feb [cited 2017 Jan 21] ; 72( 1 ): 70-75.
Responsáveis pela construção do caso e afiliações
- Bruno Bastos Godoi, acadêmico do 6o período do curso de medicina da UFVJM, Diamantina/MG (bastosgodoi@gmail.com). Presidente da Liga Acadêmica de Neurociências (Neuroliga – UFVJM).
- Felipe Duarte Augusto, Residente de neurocirurgia da Santa Casa de Caridade de Diamantina/MG.
- Leonardo Gomes de Carvalho, Neurocirurgião da Santa Casa de Caridade de Diamantina/MG.




